Dental Crowns & Bridges

Crowns and bridges: A crowning achievement to restore teeth, bridging the gaps to replace failing teeth

Crowns are arguably one of the most versatile dental services that today’s dentists have to care for their valued patients. At the office of Laurel Morello DDS in El Cajon, California, we can reshape a severely misshapen tooth to preserve a badly broken or even deeply infected tooth. When combined with root canal therapy, crowns present a conservative and affordable alternative to extraction and tooth replacement. However, they are also a viable answer for individuals whose teeth cannot be saved with RCT; at least two crowns are used in dental bridges designed to replace up to three missing teeth. And a crown may even be used to restore a dental implant as a modern alternative to dental bridges to replace a single tooth. 

More about crowns

Sometimes called a “cap,” crowns are custom-made to fit on top of a worn, damaged, decayed, or cosmetically imperfect tooth. Unlike other restorations, they fit on top of the entire tooth, starting at the gum line. By covering up the traumatized or flawed tooth, the crown restores its structure, strength, shape, size, and appearance. It may be made from various materials, including metals like gold and ceramics like porcelain. We can discuss the best option for you based on factors such as the location and function of the tooth. 

The process is well-tolerated and starts by numbing the tooth and surrounding area for comfort. Then, the tooth is “prepared” by shaping it and removing areas of decay or damage. Depending on your needs, the tooth may need to be “built up” to ensure the stability and sustained strength of the crown. Once this prep work is done, impressions of the tooth are taken. They will be used to guide the fabrication of your permanent crown. To protect the site, you will be fitted with a temporary crown. Once the permanent one is ready, the temporary one is removed during a second visit. Adjustments are made as needed before cementing the permanent crown to the tooth. No further treatment is typically necessary with good care!

More about dental bridges

Bridges offer a time-tested way to replace one tooth or up to three teeth in a row. The bridge consists of at least one prosthetic and two dental crowns. The crowns are applied to the neighboring teeth on either side of the gap. These crowned teeth function as “anchors” to hold up the replacement tooth (or teeth). Since they are anchored to these teeth as part of the bridge, they are not going anywhere and will not become loose or shift easily. 

Here again, we start the process by administering a numbing anesthetic for comfort. The anchoring “abutment” teeth are prepared by adequately shaping them. So, they can “accept” the crowns that will be fitted on top of them. A temporary bridge is also applied to protect the prepared teeth. Once the permanent bridge has been completed, the temporary bridge is removed, and the permanent bridge is fitted, adjusted, and cemented. With the crowns used over the anchor teeth/abutments, the replacement teeth in the middle fill the gap and restore the appearance and function of your smile. 

As always, the team at Laurel Morello DDS is happy to advise on ways to clean bridges and other restorations. Your new, improved, and healthy smile awaits at our office in El Cajon, CA. Give us a call today at (619) 444-4083.


Anterior Cosmetic Reconstruction Of Upper & Lower Arches

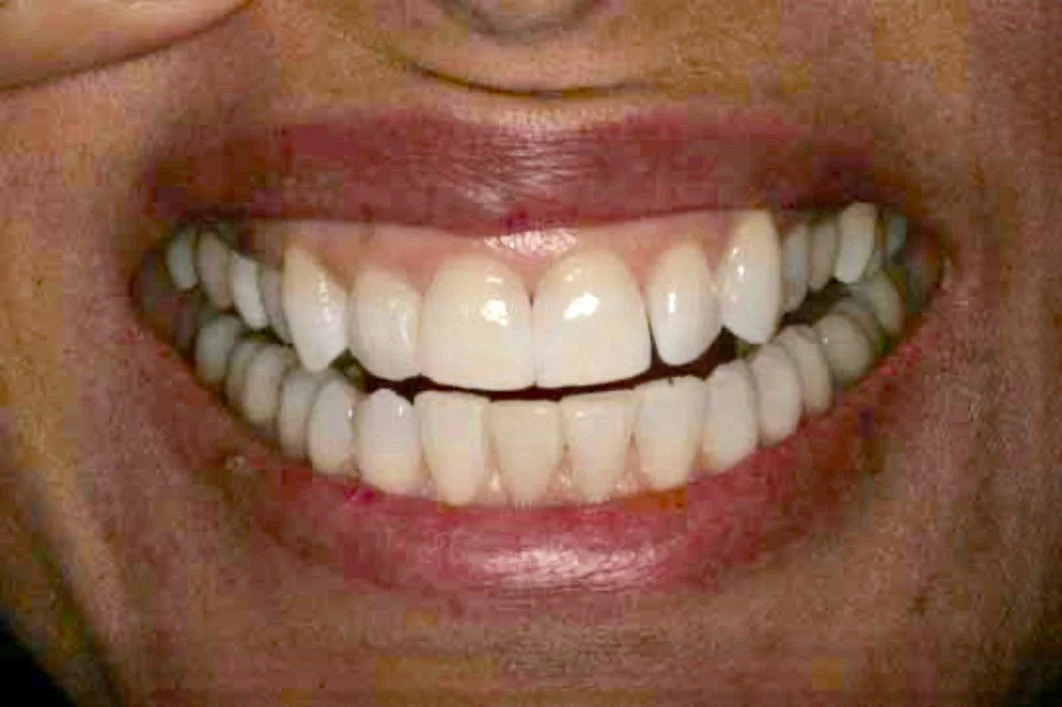
Utilizing an Implant, crowns, and bonding restorations for the front teeth. The before photo demonstrates an immediate temporary crown on a tooth that cannot be saved and was broken off traumatically. After healing and an implant placement, the 2 front teeth were crowned for cosmetic and structural integrity, and cosmetic bonding was placed on the lateral to complete the reconstruction.

Anterior Cosmetic Reconstruction Of Upper & Lower Arches

Utilizing an Implant, crowns, and bonding restorations for the front teeth. The before photo demonstrates an immediate temporary crown on a tooth that cannot be saved and was broken off traumatically. After healing and an implant placement, the 2 front teeth were crowned for cosmetic and structural integrity, and cosmetic bonding was placed on the lateral to complete the reconstruction.

Laurel Morello, DDS

Connect with Dr. Laurel Morello on LinkedIn

Our mission is to provide outstanding dental care in a safe environment. Allaying fears with with a gentle and effective approach has always been at the forefront of our treatments. The practice brings 45 years of Dental experience in all aspects of dentistry, including but not limited to cosmetic excellence and implant restoration. After extensive and ongoing advanced training in the last 15 years, Dr. Laurel Morello has also committed her practice to problem-solving airway and breathing dysfunction through simple self-care techniques, laser intervention, and growth and development appliances designed for a long-term wellness solution